Saving lives you didn't know needed saving...
Post Diagnosis
This is me, of course. This was just after I received the news I had an ALK-EML4 Fusion, also known as ALK-Positive Lung Cancer.
The culprit
This is the scan from mid October that identified my primary lung tumor. The smaller yellow spots you see around (excluding the mass in the middle) are metastasis that have spread to my bones.
The first scan
This is from the CT scan I got when I went to the ER for the second time for a persistent cough, chest pain, and difficulty breathing. A few hours after this imaging, they told me that they suspected it was cancer.
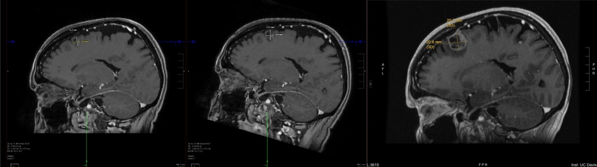
Progress brain scans - Left Lobe
From right to left, these images are of a spot of concern on my left frontal lobe that show the treatment effectiveness between the original scans in mid October, then the post treatment initiation scans from December and January. Initially, they wanted to drain and radiate these because of the size. My oncologist was pushing treatment first. I went with treatment first. And I'm glad I did because there's a strong possibility that I would be dead right now if I went the other way.
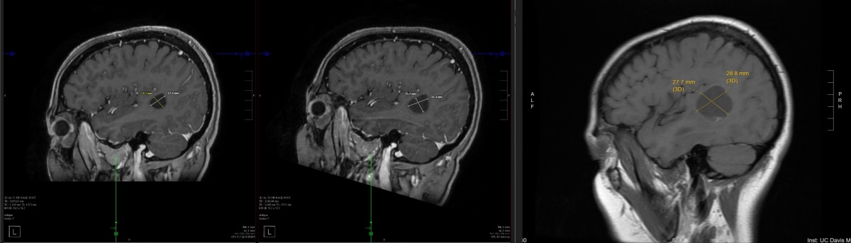
Progress Brain Scans - Right Lobe
From right to left, these images are of a spot of concern on my right anterior lobe that show the treatment effectiveness between the original scans in mid October, then the post treatment initiation scans from December and January. Initially, they wanted to drain and radiate these because of the size. My oncologist was pushing treatment first. I went with treatment first. And I'm glad I did because there's a strong possibility that I would be dead right now if I went the other way.
Me again
This is me, eight months into treatment. It has given me life. My mobility sucks due to bone metastasis, so I use a walking cane that my dad made for me. I have difficulty breathing. I have insomnia. But you know what? I'm alive. And this group has helped support the research that has been keeping me alive.
TL:DR - It wasn't asthma or COPD. It was lung cancer.
This is something I wrote in December. I thought it would work well here, too. It is brutally honest. It has foul language. But 2024 was a year, to say the least.
st
Yeah, 2024 was a fucking year alright. And I know I’m not the only one that has that sentiment. It’s been a rough year. Let’s give a lengthy recap, shall we?
No? Too bad, this is my time to memorialize my journey. But, I figure if you’re going to talk about something like this, then it might be a good idea for you to get to know a bit about my style and the best way to drop anyone in the deep end is to recount the time where life decided to invert itself, dump its contents out, and then tell me to suck it up and figure it out. Find the new normal. Find your zen, so to speak. I would always pride myself on being able to adapt to my situation and surrounding environment. But this? This came out of left field. And I can safely say that it changed me in a foundational way.
So, where were we…
December 2023
It was the end of what ended up being a decent year in general. Nothing bad happened. Got some things squared away. The worst of it was the loss of my last living grandmother in October, so that was sad because it meant another generation of my relatives had all passed on. But, it was something that had been expected for a while, so it was also a relief that she was no longer feeling the pain she was going through.
In mid December, our youngest got sick with Covid the weekend after school let out for the winter break. Because I was their primary caregiver with a better immune system than my immunocompromised partner, it was about 6 days until I was finally starting to feel the full effects of Covid. It was my third known case of having it, but it still sucks. At least we both didn’t have to deal with school while we traded off feeling like death for a few days. Mine lasted more than a few days, I think. Maybe closer to 10 days before I felt normal.
By the New Year’s Eve/New Years holiday, I was feeling better after having Covid knock me back for a week and a half in December. I was down for about four days, starting on Christmas Eve or thereabouts. For New Year’s Eve, we had friends over for dinner and games. Our oldest had some of his friends over, too. All in all, it was a great time.
But, it was just before Christmas that things began to change. I just wasn’t aware of how or what things would.
January 2024
Stepping aside for a second to say: soccer is one of my love languages. The other is music, but that's another story. But I have had soccer as my passion since as long as I can remember. I think I was maybe five years old when I was on my first rec team: the Gainsborough Studios Kittens. We were in blue and black uniforms. I played for years, including in school. I turned into more of a fan and spectator when I was pregnant with our first. It was a difficult thing for me because I wanted to be out there playing. I also realized how hard it is to not judge other people’s skill or decisions on the pitch. Being able to have an eagle-eye view of the pitch allows for that as opposed to when you are on the pitch with the ball at your feet and all you can see is right in front of you.
I truly love the game. It really is a beautiful game.
Somehow, I ended up assuming coaching of the rec team several years ago when the head coach had to drop out due to medical issues. The other coach and I had a good time partnering up, so we continued on coaching together each season. In late 2023, most of the team I had on the roster was interested in continuing to play and practice, so they posed the idea of playing in the local indoor soccer league that winter. I was happy to coach because the team was amazing and they were eager learners and I feel like we built a great rapport throughout the fall season. The league matches started the second week of January 2024 and we started practicing a few weeks before to start actually learning how to play indoor 5v5. It was a learning curve, but I knew they were up for the challenge.
It was great! We had fun, they played hard. I think one of them maybe had played 5v5 indoor before, so we were all learning. But, we enjoyed ourselves and had a great time. About two weeks into the season, I started feeling the cough come on. Then the muscle aches. Then the migraines and fatigue. Pretty sure I knew what it was, so I missed a week of practice to nurse the flu that was going around. I was sick for two weeks, but only let myself miss a week of soccer with the team. I wasn’t 100% when I went back, but I was good enough. But the cough, holy moly it was the worst! It was one of those deep chest, barking, sounds like your lungs are exploding coughing fits. And I could never catch my breath between them, too. After the rest of the flu symptoms finally went away after two weeks or so, I still had this cough. And with running around coaching, it never really went away. Eventually, I started hearing about people who had caught this season’s flu virus often ended up with a persistent cough that lasted well after they were over the flu. This cough would sometimes last a few months. Well, it did for me, that’s for sure.
We finished the indoor league and they really wanted to keep going, but I didn’t have the energy and I was starting to get prepped for the upcoming swim season for the youngest. I didn’t want to have to manage both sports, so we agreed to hold off and just wait for the Fall season.
April 2024
Wouldn’t you know, I had that goddamn cough right into allergy season, which notoriously kicks my ass with the Spring bloom weather. My face was covered in mucus most of the time, I couldn’t breathe, my eyes watered, I coughed (of course), and I wheezed. And the wheezing wasn’t fun. It was causing some uncomfortable pains and feelings in my chest, especially coupled with a cough that never seemed to catch or resolve. So, I decided to go see the doctor about it. I had been worried about emphysema because I just *knew* that my smoking days during my 20s and 30s were surely going to be the end of me. Hell, even COPD was possible in my head. And I had asthma pretty bad during the times I was congested, so it all made sense.
As did it with my primary care physician. He had an x-ray done and my lungs were clear of any fluid, but he could hear the congestion that I was explaining. There were no other signs other than I was having allergy issues and the persistent cough that was going around after having the flu. To help with the asthma related issues, he gave me a few different inhalors to use, a medication for acid reflux that had been flaring up again for me, and another one that escapes me at the moment. He also ordered a pulmonary function test to see what was going on with my breathing and wheezing issues. He said his inclination was to say more severe asthma, but he wanted to get more tests done before he ruled out anything that was explained with what I was going through. So, the test was ordered.
And we waited.
Late Spring 2024
Swim season started in May. Because of my partner’s health issues, I decided that I didn’t want to risk their health volunteering, so it was the first swim season I wasn’t a volunteer position. It was nice to only go to the meets and just watch the events I wanted to watch, then go back to my pop-up tent and sit until the next one. Occasionally entertaining the youngest and their friends popping in and out throughout the meet. And I didn’t feel obligated to have them go to every meet. If the weather was too hot, then I wouldn’t sign them up. It was easy as that. It was probably one of the easiest seasons since starting to do it every summer when the oldest was on the team.
The first swim meet was at the end of the month and I’m always going to be a swim mom. I do it when I watch swim races and competitions online. I do it at the rec meets, regardless of team. I am the one that cheers every time for my kid, even though they’re not the fastest. I go to the lanes of the swimmers who are struggling and cheer them on. I hoot and hollar when the last four places finish. I love encouraging the kids to do their best and that their best is a celebratory thing. The ones that win all the time get the attention they need. It’s the ones who don’t win all the time that should be the ones with more time spent on them. But, enought of that. That’s the coach in me talking. That will come in another story.
True to form, as happens every season, I lost my voice by the end of the first swim meet. I do usually go overboard with my strategic land end cheering, I’m not going to deny that. But, I lost my voice. It comes back after a few days typically. And that happened off and on for a few weeks during the season. Until I just embraced the hoarse voice as my hot summer voice. It never came back, either. And, of course the cough stuck around. Weird, though, that I was trying to cough stuff up to clear my chest, but there were times that I couldn’t catch my breath. It felt like I was drowning when I’d cough at night. I couldn’t sleep. It made for some very uncomfortable days and nights. I did end up messaging my doctor to let them know about the cough and they said that I could go to the ER for a chest x-ray to see if there was fluid in my lungs, but I didn’t want to because the ER is hell. And I was tired, so I just let it go. So, I let the cough be a deterrent to anyone wanting to make small talk with me at swim meets. All the better, right? My introverted self was perfectly happy to just entertain herself all summer and not have to deal with conversation.
Late July 2024
Knowing that the week after swim season ended was going to be the first week of soccer practice for the fall rec season, I knew it was going to be rough with virtually no voice as head coach. I depend on that thing to get their attention sometimes. Or call across the pitch. I made due, it was funny because I’d try to raise my voice and sometimes get it, but it got gravelly and I couldn’t hold on to it. Oh well. I was a head coach of a U14 girls team with no voice. Good thing one of my assistants was able to step up and explain things more than I had to. It worked out well.
One thing that came up while I was coaching in August. I noticed that I started losing weight. I mean, of course I did. I was running around and exercising with the girls during the practices, so I was burning calories. Some of the parents I was friends with noticed and asked what my secret was. I think I told them coaching girls soccer and hardly having time to eat. Which was true. I wasn’t hungry, so between work and practice, I may not have had anything but just a bunch of water. And it was hot, so sweating happened. I mean, don’t get me wrong. Dropping pounds always is a mood boost. I don’t care how you feel about weight loss, if you lose weight, you often feel good about it if you have some to lose.
Before you ask, the answer is yes. I still had that goddamn cough. And it was hurting my chest without fail, which bothered me. It felt like I had a bruise on my chest, kind of near my upper left lung area. When I would press on it, it was numb. Kind of like someone gave me a shot of lidocane or something. It was just weird. But, it was how things went.
Late August 2024
And all of this was just in time for me to get the call that the specialist was ready to schedule my Pulmonary Function Test. Remember that one test that was ordered way back in April? Yeah, they finally were able to get the referral through its process and get it to scheduling. Fortunately, they actually had an opening for mid week for a cancellation that had just happened, or else I’d be looking at November for the next available appointment. I wanted to get it over with finally, so I took the soonest appointment and went down as scheduled.
It was an interesting test, to be honest. The diagram above shows essentially what it is and what is measured. There are different tests you do to check different lung functions, so it was a long test. When we were done, I asked the techs if they had any thoughts and they said that they don’t know, but there’s some kind of obstruction there causing some capacity issues, but they don’t know what it is until the proper doctor can look at it and make a determination. It took maybe a few days to get that back and according to the specialist, it looked like I either had really severe asthma or COPD. The next day, I got a message from my primary saying that the results were as he expected and said to keep my follow up and we’d go over it. Problem is, I didn’t have a follow up scheduled because this test was ordered in April, so I scheduled the first available in the second week of October.
What was I going to do? I still had my obligations. However, it was challenging. I was persistently coughing, had no voice, but was able to still coach and show the team drills. I still had pep talks with them at matches. And we had fun, played well together, and just did really good for moving up a division with a bigger pitch, bigger opponents, and being a little on the younger side of the age range. Earlier in the season, I had even bought a megaphone so they could hear me. It was my way of leaning into the frustration. Eventually my voice was going to come back. I just hadn’t had a chance to rest it at all. One day.
Mid September 2024
When the cough started causing acid reflux issues, chest pains, and shoulder pain…that’s when I start to raise a little bit of an alarm. I really don’t like to take myself out of commission for any reason, especially during rec season. I love coaching. My team is a great team to work with. Why in the hell would I want to miss that? But starting in early September, I knew that there was something wrong. I kept saying to myself, “Something is not right. It just feels not right.” I felt like a vice was on my chest, squeezing while being compressed by a weight that made me feel like I was drowning when I coughed and anything tried to come up. When I inhaled and exhaled, I felt like there was fluid in my lung, but couldn’t clear it. My throat was hurting from the voice thing. Oh, and the weight loss? I had lost about 30 lbs. Now, that’s great by September of a year. But not when the loss was noticed starting in July. There is nothing normal about losing 30 lbs in two months without actively trying to lose weight.
By mid September, I had enough and decided I that something was wrong enough for me to capitulate and go to the ER. My chest hurt and I was starting to veer into the though that I was maybe having a heart attack.
Going to the ER that night was a waste of time and the worst experience I have ever had. I was there for six hours. I had an EKG and a chest x-ray. I had some blood drawn and different tests done. Nothing was worth noting. My lungs were clear of fluid. My EKG normal. Bloodwork came back okay. So, no heart attack. When these results came in, the ER doctor came in, said, “I’m sorry you’re feeling bad. You’re not having a heart attack. I’m going to have the nurse give you some steroids and I’ll write you a week prescription for steroids to take. That should take away the inflammation that’s causing pain. I hope you feel better.”
I sat there as he walked out of the triage room, not 45 seconds after he walked in to say what he said. I was dumbstruck and literally sitting there with my mouth open, aghast. I looked at my partner. They looked at me. I said, “Are you serious right now? Steroids and hope you feel better?” The nurse came in and I asked her if that was it. She said that it was, gave me the steroids to take, and handed me my paperwork and said she hoped I felt better. I have never felt so ignored when it came to my medical care. I was pissed. We left and went home. I cried laying in bed, in pain and coughing. I still felt like I was drowning. I couldn’t lay flat without coughing. It was miserable.
My partner was distraught at how I was, so they called our advice nurse at our local doctor’s office. She asked what they did down there and what was going on. When the events were relayed, she was shocked they only did an EKG and chest x-ray. She said they should have at least done a CT scan or something because an x-ray doesn’t catch everything, but that’s typically what they do when there’s symptoms with a clear chest x-ray. We were both surprised, too, but with the care that I ended up getting, it wasn’t surprising that they did as little as possible. She strongly suggested that I go back down. I laughed and said something along the lines of no offense, but fuck no, I’ll wait until I’m having a heart attack next time. They wanted me to go, but I was obstinant. So, we didn’t.
I took the steroids I was prescribed. By the third day, the pain wasn’t awful at least. But the cough was still there. It didn’t hurt as bad, but I sure felt the pressure when I’d have coughing fits. I did the week as prescribed and I ended up feeling no pain. But within a few days of stopping the week of it, the pain came back. As did the acid reflux feeling that just would not go away. And yes, you can get sick of Tums and Pepcid tablets.
It took two weeks after the first ER visit for the blood to start coming when I was coughing. It wasn’t a lot, mind you. It was kind of like tinged phlegm when I’d cough stuff up. I felt like I couldn’t swallow right. Any time I tried to drink water, it would just go down my windpipe and cause me to cough that up. That would trigger my gag reflex and I would throw up, even when I had nothing to throw up. It hurt and scared the fuck out of me. After about four hours of feeling like I was actually going to cough up a lung, I told my partner I couldn’t take it anymore. I sent a message to my primary care physician and told them that I wanted to try to get in to our clinic to see one of our regular doctors and get their opinion. The next morning, they called me back and said my primary wasn’t available, but they could get me in to see another doctor that afternoon. I took the appointment and went about my day until the appointment.
We went down to see the doctor I was scheduled for and he did a quick exam to listen to my heart and lungs, check my tonsils. He did a Covid and the two flu combo test, all three of which came back negative. He had me do an x-ray that came back clear of fluid (again). He said that one concern he has was potentially a pulmonary embolism because of what I was describing, so he said that his recommendation was to go straight to the ER. He was going to call them and let them know I was coming down and asked them to do an EKG and a CT scan because they had an x-ray already that was showing clear of fluid. I knew he was right and we had to go back to the ER. And if he was thinking it could be a clot, you’d better believe I wasn’t going to argue with him. So, we went home, I took a shower and packed a backpack of things to keep me busy while I waited between vitals and doctors. Then, off we went with hopes that this time would be different.
Neither of us had any fucking clue how different it would be.
October 2024
I checked in at the ER on 2 October 2024 and they immediately took me for an EKG as soon as I checked in at the desk. Then after that was done, they drew my blood. I learned that there’s a blood test that can check for a clot or the potential for one to be developing, so already, this was turning out to be more attentive. And all of this was even before we made it into the waiting room. That’s when the waiting started that I was expecting. They ordered both an x-ray and a CT scan, both of which happened at some point in the evening and middle of the night respectively.
I had sent my partner home because they were exhausted. I was eventually put into a triage holding room and was able to sleep a little bit. If you’ve never been in an ER triage area, you don’t know how difficult it can be with the moaning people and the constant checks. In the morning, after being able to kind of sleep overnight, I was met with a doctor from internal medicine and her team to say that they saw a mass on the left lung that they want to take a look at, so I was going to be admitted to the hospital pending a biopsy on the mass they saw on the CT scan they had done in the early morning hours.
On the fucking CT scan. The irony wasn’t lost on me. That ER doctor from two weeks prior is still on my “fuck that guy” list.
So, there’s something in my chest cavity on my upper left lung. Huh, well fuck me. A mass of some kind. And it was pushing on my lung and kind of squeezing my pulmonary artery. That explained a lot of what was going on at least that month alone. Well, at least they’re taking me seriously, right? After a few staging room changes, I was finally put in a room that I shared with a younger girl who was around 18, if I had to guess. She had already been in the hospital for 2 1/2 weeks by the time I came to the room and resided in the window side of the room. She had her own issues going on, but she was interesting company to listen to and learn about without even talking to. It does pay off sometimes when you’re good at observing people all the time. When I got into the room and got through with the initial rush of nurses and people to do their jobs, I made a list of things for my partner to pack in a bag for me. I had been wearing the same clothes and knew I would be there at least for a few days until they could get me on the schedule for a biopsy. I needed something to wash myself up with and I needed my own pillow, at a minimum. Fortunately I had planned entertainment, but I didn’t plan the hospital stay side of it. The list was used and I was able to get the things I needed for an indeterminate stay.
The next day I was met with a doctor I hadn’t seen yet, but he was from the Interventional Pulmonology team, who was involved in getting me in to have this mass biopsy done. He was the first one that even mentioned ruling out things like cancer or any other autoimmune disease, on top of potential COPD. He said that the impressions from the CT scan showed things that needed to be followed up on, but the biopsy was definitely needed to see what the plan of action was going to be. Because I was obsessive about reading the notes on my medical chart, I saw that they had the biopsy tentatively scheduled for 8 October 2024. Which was the following week on Tuesday. Wow, okay. I didn’t expect to be in that long. But, if they can get me in to get this biopsy, I’d rather just be here where if anything were to happen to me, I’m in medical care already.
While I was there, I was able to manage my pain with Tylenol, which made me incredibly pleased. Even the nursing staff was surprised that all I needed was Tylenol and I didn’t request anything stronger. I didn’t want anything stronger. I just wanted to not be in pain. So, if Tylenol did it, then Tylenol it was. I was met with doctors every day to go over “the plan” and it was pretty much wait until I can get on the schedule. As I continued to have blood work done, I read the doctors notes as much as I could just to get a feel for what could be going on. I still had the cough, still had the hoarse voice, was still losing weight even in the hospital, And my chest pressure sucked. And I realized that numb spot was right about where this supposed mass was, so that was an interesting connection for me to make.
Days went by and I worked from my hospital bed because I could and got permission to do so from my employer. I would go for walks around the unit because I didn’t want to stay in bed all the time. My partner would come and go to visit, but there was really nothing they could do while they were there except keep me company and maybe distract me. And they were tired and stressed, so we did what we could do. The kids came down a few times, which was nice in the evenings. I missed them and they were worried about me.
The day before the biopsy, I talked to the doctor when he came for his regular morning check in. He and one of his other colleagues spoke to me about how I was practically confirmed for the next day to have the biopsy and depending on the initial analysis of the sample, I might be able to go home the following day. If the analysis came back revealing some kind of carcinoma, then they wanted to have the option to keep me admitted and start treatment immediately. It was after this conversation that I started really considering that this might be something really bad. I didn’t feel awful. Well, other than the pain, cough, and all of the other stuff. But I didn’t feel tired or weak. I wasn’t sick. I didn’t have a fever. Just that goddamn cough and chest pain.
On 8 October 2024, four days after meeting with the doctor about the biopsy the previous week, the day of the biopsy came. It was weird, I was awake when they numbed my throat for the tube, then I remember nothing. I’m pretty happy that I didn’t remember them putting the tube in because to be honest, that was kind of unnerving and I really was hoping that would be the case.
After the procedure, I woke up and was taken back to my room once I was awake and stable. And my throat hurt more because of the stupid tube down my windpipe. It was almost like adding insult to injury. It really knocked me out and I dozed off and on for a few hours after it was done while my partner stayed for a few hours. After I finshed resting off the anesthesia, I was able to visit more and went about the same routine I’d had for a week so far.
The next day, my life turned upside down.
9 October 2024
The doctor came by for his morning rounds. He let me know that from their perspective, they feel that I could be discharged as soon as we got the initial biopsy results back. He said he felt confident and that anything that needed to be done could be done outpatient after this. He even said it could be as soon as that evening or the following day, which was nice to hear. I hadn’t been in the hospital for so long before and I kind of missed my animals and creature comforts. And my own bed. And my people. I wouldn’t complain with getting discharged.
He called me back at about 14:45 that afternoon. He said that he got the initial reporting on the visual analysis of the sample. He asked if I wanted to know or wait until the visit the next day. I was by myself, but I was really impatient at that point so I had him tell me.
Adenocarcinoma of the lung. Non-small cell lung cancer.
Lung cancer.
If he said anything else specific, and I know he did, I don’t remember what it was. Something about a referral to oncology and I’ll be seeing someone come by to talk about next steps. But the only thing I could think about was that he said I had lung cancer. When the conversation came to its conclusion, I hung up my cell phone and sat on my bed. I looked at the clock and it was close to 15:00. I had to call my partner. I went into the hallway and walked to where not many people were and dialed their number. I needed them to come down there. I could barely form words. I told them. At least I think I did. In my mind I did, but I honestly don’t remember. That whole time is incredibly fuzzy. Shock, maybe? That would make sense.
(Mental note: ask partner if I actually told them I had cancer over the phone.)
It was not over the phone news, but this is my person. My partner in crime. I couldn’t not tell them and I certainly couldn’t talk to anyone else before I talked to them. So, I had to tell them over the phone. After that call, I called my mother. It was while I was talking to my mom that it started sinking in and I absorbed the fact that I was just told I had cancer. My mom was shocked. I was shocked. I’m only 47 years old and I have lung cancer? Jesus, maybe I shouldn’t have had the dark humor about my lungs killing me one day. I swear, I was only joking. But, there we were.
After calling my mom, I went back into the hospital room, lay in bed, put on my headphones with some good meditation music, and cried. My nurse came in to check on me at one point and saw me, asked if she could give me a hug because she saw the note come in on my chart and wanted to come check on me.
I really did have the best care while I was there. Especially after that phone call.
My partner ended up arriving and they just sat and held my hand. We ended up walking around the unit and talked. I mean, what else do you do? It was a shock to both of us. By the time they got there, I had done what tiny bit of research I could do and started going down the rabbit hole of prognosis and I had to stop. Fortunately it was a short research stint online and I put it away for the rest of the day. My mental health needed me to set that boundary.
In the next few days, I did research and talked to doctors. I had a referral to the cancer center to start working toward some treatment plan. Or, if anything, just figuring out what direction to go. It was determined that I didn’t need to start any treatment immediately that necessitated me staying admitted to the hospital for a period of time, so on 11 October 2024, I was discharged in the late morning.
I was so happy to be home. Take a shower with my stuff in my own shower, lay down and attempt to nap in my own bed, next to my person. It wasn’t all smooth, because that day, my phone rang like it was Grand Central Station. I had so many people making scan appointments, blood work appointments, consults, go see this and that specialist appointments, and all that goes into the whole “you have cancer, now let’s move” process. I was going to start working with an oncologist who specialized in a specific lung cancer type and had ordered something called a liquid biopsy. It’s supposed to be a genetic make up cancer cells that are in the blood. Simple blood draw, then it gets shipped off. I had the blood test the Monday after I got out of the hospital, a PET scan and an MRI on my brain that Wednesday, then a new CT scan of my full abdomen that Sunday. In between those, it was consultations, more appointments to make, blood draws to have, and all of that kind of thing. By the end of that week, after having an IV in my arm for 10 days and then having pokes for blood draws and the various scans, my poor arms looked like I was a drug addict. I pride myself on having great veins when I need to get a poke in one, but these poor things were in bad shape. But, given the circumstances, I’d take the hit.
22 October 2024
The following week, I had my first appointment with my lead oncologist at the cancer center. He said in that appointment that I was at Stage 4B lung cancer. My partner asked him in the hallway about prognosis, but the doctor wouldn’t commit to any timeframe, only that it’s important that we find the right treatment to address this and manage it as effectively as possible.
But, as you probably guess, I already did some research on lung cancer and prognosis for the different stages. Prognosis for this stage of lung cancer is maybe 12 months?
Oh. Well, that’s a thing apparently. Let’s pause right here for some education and links about lung cancer.
Lung Cancer – Types and Statistics
There are two types of lung cancer: small cell lung cancer (SCLC) and non-small cell lung cancer (NSCLC). SCLC is most commonly diagnosed in long term smokers, people who use inhalants habitually, and long term drug users that develop cancer. Among other things. But smoking, to be fair, is the leading cause of lung cancer. That’s backed by data. According to the CDC, the typical demographic that are screened for lung cancer have a 20 pack/year or more smoking history, and smoke now or have quit within the last 15 years, and are between 50 and 80 years old. According to the American Cancer Society, approximately 10-15 % of all lung cancers are SCLC, which is the more aggressive type and spreads quite quickly.
Now, we talk about NSCLC, the more commonly diagnosed type of lung cancer that is showing up in non smokers, many who fall younger than the age demographic of those who develop SCLC. Approximately 80-85% of lung cancers are NSCLC, according to the There are three main types of NSCLC: adenocarcinoma, squamous cell carcinoma, and large cell carcinoma.
There are many treatments that attempt to and do extend a meaningful quality of life. Depending on the biopsy results and the final diagnosis of what’s going on, cancer survivors may have chemotherapy, immunotherapy, radiation, surgery, targeted therapy, or other methods. But there were options and this was the case for me. I refused to give up and just wait to die, so the options were a blessing to learn about in general. While we met with the oncologist, he discussed the options he’s considering optimal for my circumstance. He was interested in seeing the results of the Tempus xF liquid biopsy that was taken the previous week and we were still waiting for the results on. His hypothesis, based on the notes from the specialists who looked at the slide and tissue samples after the biopsy, was that this was as a result of a gene mutation that occurred in my genetic code. Apparently, thanks to research and modern medical practices, there have been several genetic mutations that just happen and cause cancer cells to produce and replicate, going unnoticed until the cancer has at least spread to other organs regionally, or even distant organs. The latter is what happened with me. My initial scans revealed the following:
- Primary lung cancer, adenocarcinoma tumor located on the upper left lobe of lung (collapsed)
- Metastasis to lymph nodes in upper chest, lower abdomen, pelvis, and hip areas
- Metastasis to brain, showing two distinct large tumors and more than a dozen small lesions throughout the brain matter
- Metastasis to the spine, including most of the thoracic vertebrae and all of the lumbar vertebrae
- Metastasis to spleen, showing multiple lesions
Good times. Yeah, that’s definitely advanced stage cancer. So, the oncologist had different options. He said that he’s confident that we’ll be able to do a targeted therapy, meaning that he strongly believes that my liquid biopsy will reveal the genetic mutation. If that was the case, then I could do targeted therapy because there are medications both FDA approved and in phased clinical trials that can specifically target a gene to cause it to stop replicating, often times removing and allowing healing in most of the secondary regions that the cancer has spread to and reduction in presence of active and replicating cancer cells. However, if the biopsy came back that it was not a gene mutation, then we would go to a combination of immunotherapy and radiation treatment.
I had mentioned a bit ago that this oncologist was a specialist in a certain type of lung cancer. Well, he is a specialist in mutations of the anaplastic lymphoma kinase (ALK) gene. He is also one of the lead investigators in the clinical trial option. Of course he has a vested interest, but this was a good thing. It gave me more hope, which by that point was starting to wane because at that moment, we had no set plan per for treatment. For me, I had gotten my diagnosis almost two weeks before that appointment and because of the advanced stage I was diagnosed, we were wasting precious time. But we were getting closer. Just….waiting. Waiting for the results to come in from that test. Waiting for phone calls. All the waiting in the world. And waiting for the most impatient person starting at lung cancer was agonizing.
Anaplastic Lymphoma Kinase Positive (ALK+)
ALK-positive cancer patients often do not realize
they have lung cancer until stage IV,
when they start to show symptoms.
About 5% of all NSCLC patients are found to have a ALK+ mutation. It was discovered in 2007 that rearrangements of the ALK gene were first reported in NSCLC.
According to ALKpositive, a patient founded and patient and caregiver led non-profit organization to provide advocacy and support for cancer patients diagnosed with ALK+ lung cancer, the survival rate for stage 4 ALK+ lung cancer has increased since 2018. Data collected from patients currently taking TKI therapy medication shows the positive response ALK+ lung cancer has had to tyrosine kinase inhibitors (TKI) medication has increased the patient life expectancy rate after diagnosis: a study in December 2018 showing the median survival for people with stage 4 ALK+ lung cancer was 6.8 years. Even more encouraging, approximately 50% of patients also lived longer than that.
Medical Notes from 25 October 2024:
“Discussed tumor board review and molecular testing results with patient.
EML4-ALK fusion detected on ctDNA.“
On 25 October 2024, I was sitting in a long overdue meeting with my supervisor to go over work arrangements and how I was doing. While we were talking, my phone rang and I saw that it was the medical center. It was getting close to the end of the work day and any call from that number, I picked up with no hesitation. It was my oncologist. He said he had just left a review board meeting regarding my liquid biopsy results that had just come in and he confirmed that I did indeed have the ALK mutation, creating the EML4-ALK rearrangement in my genetic code and causing the creation and replication of cancer cells. He said this was very good news because we could move directly to targeted therapy and not have to consider chemotherapy as our first line treatment. We had two options for targeted therapy. The first option was to start taking the third generation therapy medication that was approved by the FDA in 2022 called Lorlatinib, which was currently the first line of treatment for targeted therapy for ALK+ patients that had no prior treatment for their cancer. This was readily available and I could start taking it as soon as I received the prescription.
The second option was a clinical trial for the next generation therapy medication after Lorlatinib. The medication, which does not have an official name other than NVL-655 (but I’ve done some digging because that’s what I do, and a thesaurus that I found on the website for the National Cancer Institute has Neladalkib as a synonym to NVL-655, so there’s that), is more effective in passing through the blood/brain barrier to affect tumors and lesions that have metastasized to the brain and has been able to eliminate the common central nervous system and cognitive side effects that patients have experienced with Lorlatinib. There are certain criteria that needs to be met to be able to participate in this clinical trial, including tests that need to be done, medications that need to be taken for a certain amount of time prior to first dose, that sort of thing. It’s a real big deal.
So, the decision I made with the oncologist was that my first choice was to participate in the clinical trial. I had nothing to lose, I already had advanced stage cancer, so if that gave me access to the most cutting edge treatment option, then why the hell not? If we could get me into the trial cohort ASAP, then we would take the opportunity and enroll me in the trial. If for some reason I wasn’t going to be able to be accepted into the cohort for the trial, then we would plan to start me on Lorlatinib and possible get in a different trial cohort after I had been on the third generation medication. Either way, we wanted to start treatment as soon as possible. I wasn’t a fan of the nervous system or cognitive side effect potential, but goddamn it, I was going to fight cancer and side effects are part of the process. I just wanted to have something. Our target was the first week of November to start something. We ordered the Lorlatinib to have it on hand just in case and if we couldn’t do the trial out of the gate, then I had the medication that I could start while we wait to join the trial. Or switch after FDA approval of the newer medication and when the Lorlatinib wasn’t working anymore or the side effects showed that they were not allowing for an optimal quality of life. It was a plan and I was happy with at least something with a potential date to start. I just had to get there.
On 4 November 2024, my oncologist confirmed that I was accepted into the clinical trial and I would start treatment the following day on NVL-655 and not Lorlatinib. I was FINALLY able to start kicking cancer’s ass.
Nuvalent ALCOVE-1 Clinical Trial
On 5 November 2024, I started NVL-655, the medication being studied in Phase 2 of the ALCOVE-1 Clinical Trial being conducted by Nuvalent Inc. in coordination with 21 medical centers in the United States alone, as well as 49 medical centers in other countries around the world. And one of them is the very medical group that I have been using for the last near 20 years, so the fact that this practically landed in my lap as an option is mindblowing. This particular medication has shown some promising results so far and is considering dosage and results on patients that have had prior treatment or are naïve to treatment.
19 December 2024
This was a day that I had on my calendar as a benchmark day. It was the day I could go over my scans with my oncologist. I had been taking the trial medication for six weeks and this would show the differences between the scans I had initially in mid-October and after six weeks of treatment. I had my scans done the week before, so I knew there was going to be a week before I got to go over the images and results of the scans with my oncologist.
I’m going to be a killjoy here and give a short spoiler: I did know the results of my CT scan before I went to the appointment appointment on the 19th. And true to form, my oncologist got the initial findings report from the CT Scan and called me the day after my scans were done. Here were the notes he shared with me:
- Significant reduction in size of previously seen left mediastinal mass with residual soft tissue mass noted along the AP window with extension to the left hilum.
- Decreased compression of left upper and lower lobe bronchus with resolution of previously seen left upper lobe atelectasis.
- Persistent left lower lobe nodule as described above, recommend attention on follow-up imaging.
- Redemonstration of multiple previously seen diffuse sclerotic foci with multiple new sclerotic foci including along the left proximal humerus, T6 vertebral body T11 vertebral body, see above for further details.
Also, findings of:
- No evidence of new metastatic lesion in the abdomen or pelvis.
- Decreased size of splenic lesions and left para-aortic lymph node, suggestive of treatment response.
- Stable size with increased sclerotic appearance of multiple osseous lesions in the lumbar spine, pelvis, and proximal femurs.
- New nondisplaced pathologic fracture of the L5 vertebral body involving the superior endplate.
I had this knowledge going into the appointment on the 19th, so had already learned that below the head, the treatment is working. It’s shrinking the cancer. But, there was still an astrisk on the MRI, which was of my brain and would be held against the one I had in mid-October, too. I had two masses they were ready to go in and drain the last week of October because of the pinch they were causing in my cerebral fluid to flow without impediment. That was the scary part that I wanted to know.
Again testing someone who was once incredibly impatient, who had recently found some way to bring herself back to patience again, we didn’t hear or see anything until we were at the appointment on 19 December 2024. Oh well, so it goes. Waiting is kind of my thing at this point.
The day was what I call treatment day, which I should reterm now that I know what happens those days. I shall now call it Vampire Observation Day. I start by turning in my pill bottle kit with all remaining pills to the clinical trial pharmacy (it has its own special door to get there, too). I always have a blood draw for my panel, a check in and update with oncology and the clinical trial representatives on the campus, go to the infusion center to be monitored as I take my new medication bottle for the cycle I start that day, which at first included an EKG and blood draw every hour for two hours (three times total), but is now just a blood draw at the end of the second hour, so two instead of three. So, I get to swing a nap in there while I wait, but I do remember that I am in a room that also has patients undergoing infusion therapy for their cancers and likely are having a rougher time than I am. I cannot imagine their discomfort and pain during this process. That’s about a 5 hour day, then I go home.
After my first blood draw, it was time to meet with the oncologist. We already had the news about the CT scan, so at least half was good news. But we were both so worried about the brain MRI update. It terrified me that cancer could cause cognitive issues with the tumors and lesions that were there. This was also the gauge to how the medication was doing getting to and working on the brain tumors and lesions.
You know, it kind of makes your day when your oncologist comes into the room with a smile on his face and cheerily says, “Everything’s shrinking!” And then shakes your hand, saying, “I’m incredibly pleased to see what I’m seeing on your scans.”
- Significant interval decrease in size and number of multiple enhancing intracranial metastatic lesions.
- Interval resolution of ventricular trapping involving the righttemporal horn.
Note the word “significant” in that first bullet point. Decrease in size and number of metastatic lesions in the brain. The medication is fucking working. And it’s working really good. There’s now a message out to radiology to consult about where we stand with the tumor draining and spot radiation option for the two problematic tumors up there. As my oncologist put: “Let’s keep going!” and of course, I wholehartedly agreed.
Living with Cancer
I’m not gonna fucking lie to myself or anyone else. This cancer is here to stay. It is not curable at this time. Maybe one day, but right now, it is not. The best I can hope for is to manage it with whatever options are available and when that one begins to be ineffective, move to the next, then the next. The day I received my diagnosis, as soon as my partner and I could sit down and breathe in the hospital room, I held up my pinky and took theirs in it. I swore that I was going to fight this until I couldn’t anymore. I’m not giving up and they aren’t either. I meant that shit. I know people out there think it’s stupid or something, but it isn’t to me. When I make a pinky swear, I keep it. Fighting is what I do.
The month between my diagnosis and when I finally started cancer treatment was agonizing. The whole month of October. I had no idea what my prognosis was going to be, if I had two years or two months. I had so much that wasn’t done yet. So many things I had put off doing. Organizing stuff. Consolidating stuff. Making sure things were able to be interpreted. It was admittedly morbid as fuck and I realized that no one around me could even possibly understand this reality sinking in. I’m dying. I’m literally being killed by cancer. And I don’t want people to pamper or fuss about me. I hate that anyway and anyone who knows me knows how much I fight that. Just let me be me and do me. You can’t fix it. You can’t take this away from me. You aren’t capable of it. This is my fight. And holy cow, can it be a dark and lonely road to fight on sometimes.
How did I cope? I went into fix it mode and fully threw myself into projects that I hadn’t finished or started that were just procrastinated out of the rotation. I was a freaking machine. And I obsessively cleaned. Because everything had to be just so. I think a lot of this newfound energy and endurance had everything to do with the VERY heavy dexamethasone prescription that my oncologist had me bump up to in order to work on inflammation issues in advance of treatment. That lasted for a while, actually. I had goals to have all of the projects done by Thanksgiving. Even to the point that I would try to push through aches and pains just to get something sort of done. But I needed to get it all done because if I were to die the next day, I didn’t want to have all of these projects that I wanted to do left hanging for those who survive me to pick up and take care of. I needed to finish them all.
There are a few times that I have had bad days. Like, bad mental health days that I haven’t experienced in years. I just wanted to curl up and wither away. I pushed people away or shrugged off that I was just tired if I was snappy. It was cyclical. And once I realized what was happening, I learned that I had to talk to my partner. They are my sole caregiver right now and I trust all decisions to them. I had to let them know where I was at and try to talk through it. Get through the road block that got me stuck in the despair. It took a little bit, but eventually the fog and gloom would lift and I would feel the fight come back. Sometimes I get distracted and end up trying to go back to some path that seems familiar. Unfortunately the path I find is one that leads me down a road of shutting down and isolating. I’m glad I learned some tools to try to pull my head above water enough to get to someone I trust to help pull me back up on the dock. It takes trust, but I’m glad I have that person here to help me navigate this reality.
Finding My Purpose
I realized something after doing all of the outstanding projects and catching up on the rest I so desperately needed: I was so obsessed with doing everything and getting things done, that it was taking away from me doing anything to enjoy the things around me. I didn’t have to to be present. To be mindful. To observe and witness my surroundings. To smile because a little kid is jumping around and giggling at their parent. To looking at the couple hug each other gently. To the guy dancing to the music in his head and looking like he is having a great time just feeling the music. They were enjoying being in the moment. I needed that more than I cared to admit.
I began to allow myself to just be there. Look at the trees as they went past. Watch the animals interacting while I was waiting for a stop light. Looking at people as they drove their vehicles, singing along to the music in their cabs, wide smiles on their faces. People sharing an exchange in the front seats, animatedly explaining their points. The clouds and their mystical formations. Everything around me was something worth observing. I started feeling like the best thing I could do was to take it all in and appreciate it. Be grateful that I can experience these different things in the same location.
People that know me are also keenly aware of my tendancy to geek out at science stuff. Biology, anatomy, botany, water science, aquatic species, gross stuff, all of it. It fastinates me. I love seeing how our worlds’ inhabitants interact with each other. What works, what doesn’t, what works and we don’t know why. I am a science nerd through and through. So, you could imagine the nerdiness rush I felt when I started looking into this clinical trial for the Nuvalent medication. I was a part of a big human science experiment that tests the effective dosage of a medication that is better than any other available on the market, has fewer side effects than that first line medication that is currently on the market. Me, able to contribute to a datapool that helps determine the effectiveness of medication that could manage cancer. Are you serious? Sign me up. Like now.
So I was signed up. And I’m part of this amazing clinical trial for the next first line of treatment of ALK+ Cancer. I am giving my experience and data to a group that has developed an even more effective medication that fights a rare type of cancer. This purpose I was looking for? It was to give in service of others. It always has been and it always will be.
The Little Things
I finally encountered my limitations at Thanksgiving when I overdid it and just couldn’t move or stay awake. I slept most of a few days and when I finally caught up on my rest, I told myself that I couldn’t do everything. That’s a hard thing for me to admit to myself. But I’m going to need everything I’ve got to fight cancer and that is my target point. Everything else is secondary unless it will assist in this fight. And that is why the living room is still only 3/4 finished in its paint job that I started I think over the summer sometime? Maybe as early as May? I don’t remember, to be honest. I was going to get to it, but I never did. That’s also why that green mark is still our ceiling from a bit of mischief from our youngest and their friends “wondering what would happen if they threw slime up on the ceiling.” Well, it stuck geniuses. And when you pulled it down, a lot of it was stuck in the stucco on the ceiling. You got your answer. However, the dark humor side of me leaves it there because of how those I know who say something when their surroundings aren't to a higher standard. And that it gets a reaction makes me giggle. Like I said. It's just the little things. Because giggling is a good thing.
Update: I finally finished painting the living room. And painted the ceiling where that green slime was, as well as some places where my paintbrush accidentally brushed the ceiling. There are a few left, but I'll get to it. I always do. :) st
So, with limitations, I have been trying to just appreciate the little things more. Things like seeing the changes around me as the weather turns cold. Listening to conversations between people, both within my own home and outside of my home. Smile more and things that make me smile. Not get so frustrated all the time or be in a hurry all the time. I realized that I’ve spent so much of my life just in a hurry to get to the next thing that I forgot to actually live. To observe. To just be here and experience what I can. That doesn’t mean that I’ve got this giant crazy-ass bucket list that I’m working on, but I am trying to acknowledge and experience things I wouldn’t notice before. All I’ve got is borrowed time and I’d rather enjoy the time I have left than be miserable and strung out trying to “get everything done” and knowing I never will.
Return to Creative Pursuits
What have I done to occupy my time? It’s been a fun rotation between writing music on my computer with a MIDI keyboard, arranging and transposing music on paper, learning to play guitar or bass (though I did pick up a ukelele and have access to a mandolin and violin). I also have an 81-key piano keyboard.
Other than the clarinet and saxophone I had from elementary and high school, I think that’s it for the instrument ownership. Truly. Am I done with that? That’s highly doubtful.
No. It is never enough. And it never likely will be. But, I’ve definitely slowed down and am using what I have available. It’s worked well so far.
There’s something about creating a sound with a combination of movements that just sounds like your soul has left your inner being and transferred to the sounds you produce with your instrument. It returns to your body through your ear, perpetuating a cycle of creation, curiousity, and excitement when it just works. That’s music. That’s what draws me to it every time. It is also what terrifies me about it. It’s why it is the best mistress I have ever had and I will never let it fall out of my life again.
Outside of writing my own music, I’ve been curating playlists of music that is thematic for different moods. I enjoy the idea of sharing my playlist. Maybe I’ll do some DJ streams at some point in time. Who am I kidding? I know I won’t. Nor do I have the drive or passion to do something like that. I like being incognito and doing my own thing. I’m more of the shadow song and intrumental piece writer that gets discovered because she has some creative ideas that strike a chord with someone.
The most recent return hobby that sometimes takes a binge session came back to me was as a result of my best friend telling me one day, “My nieces want me to make them blankets, so I’m learning how to crochet.” And funny, I still have a ton of yarn, a set of needles, all the supplies to do the same from when I first started trying to learn crochet. It was during the one thing that happened and ended up still having an impact on the health of not only me, but my family.
But, I digress.
So, I had these supplies. I decided to tell her that I’d learn along with her on my end and we’d encourage each other. I started a few crochet projects that I’m working on every little bit. I started a blanket for my partner and am starting another one for our grand-god-baby. I’d like to have a start over on a blanket for my nephew, but it’ll be a bigger and squishier blanket. Maybe next holiday. Or his birthday next month. Hmmm….
Fortunately, I love doing things with my hands. And I know that can be taken so many different ways, but something about figuring out coordination and pattern. Learning an instrument. Learning to type. Learning to sew. Learning to do anything that requires a specific manual dexterity. It was a puzzle to me. Hence, why something like focusing on getting my fingers trained to work with the yarn and hook, it has been therapy for me. I sit and listen to a good playlist for whatever type of music I’m feeling in the moment, get myself into a stitch pattern rhythm, and just go. And true to fashion, I have about seven projects going on right now off of various skeins of yarn. ADHD rears its ugly head again.
What Now?
Well, what else is there to do? Fight like a motherfucker. Be present. Be here. Be joyous. Be grateful. Enjoy the time I have while I have it while also enjoying relatively good health? And as long as they can provide a treatment to manage this cancer and stop it from progressing, then I’m going to do that for as long as I can. We’re all on borrowed time. How you utilize that borrowed time makes all the difference.
And I choose to live.
7/2/2025: Adding a few updates here. The voice issues? I was diagnosed in February with a paralyzed left vocal cord. How did that happen? The tumor growing in my chest wrapped around my pulmonary artery and the left vocal cord nerve, essentially choking it out. The ENT specialist said that I wouldn't get my voice back at all without either the temporary or permanent treatment solution. I opted against surgery and went with the injection option. After about 6-8 weeks post injection, I did get my voice back for the most part. I still have a gravelly sound to it, but that's okay. I have volume. I can say more than two words without becoming breathless. It's not cured, but it's better than it was. Going 9ish months without a voice was no fun. Also, I'm going to start my fourth and final season as head coach for the girls rec soccer team. I told them that I wanted to give them a full season because I went into the hospital during our bye weekend right in the middle of the season last year. I owe it to both the team and myself. But, it'll be my last season coaching. I am still responding well to treatment. I have my next set of scans next week and they should be following suit with shrinking or stable cancer. Stable is our baseline goal and we got to stable status in March, which I am grateful for. So, I keep going. Some days are easier than others still, but on the whole, I have more good days than bad. But, I'm stable and managing stage 4 cancer, so I think I really am a superhero.
st
Neladalkib
NVL-655. My life saving drug, currently in a clinical trial and set to be the next generation of targeted treatment for ALK-Positive lung cancer.